Predictive Dental
Aesthetics

OralCol is een tandtechnisch laboratorium met een vakkundig, gedreven team gespecialiseerd in het vervaardigen van high-end keramisch kroon- en brugwerk. Klassieke ambacht en moderne digitale technieken worden gecombineerd waardoor schoonheid en precisie tot in de kleinste details worden verwerkt.

Smile design

Predictive Dental Aesthetics staat voor voorspelbare kwaliteit en esthetiek: met een Smile Design van OralCol wordt op basis van het gezicht een ontwerp gemaakt van de toekomstige lach.

Het design geeft een uitgebreide digitale impressie van de before en after situatie in 2D én in 3D. Pas wanneer het design na feedback en eventuele correcties naar tevredenheid is, wordt het design als test-drive overgebracht naar de mond. Dit is de blauwdruk van de verdere behandeling waardoor een voorspelbaar en minimaal invasief eindresultaat wordt verkregen.

Werkwijze

Naast esthetiek wordt bij OralCol wordt extra veel aandacht besteed aan een uitmuntende baseline kwaliteit bestaande uit pasvorm, randaansluiting, contacten, hoogte, functionele aspecten, duurzaamheid. Mochten er tijdens de vervaardiging knelpunten optreden dan wordt dit duidelijk gecommuniceerd en wordt er goed nagedacht over mogelijke oplossingen. Het werkstuk gaat de deur niet uit zonder strenge controles, waardoor het plaatsen van het werkstuk voor de behandelaar een plezier is met minimale nabewerking en daarmee een besparing van kostbare tijd.

Patiënten zijn bij ons welkom om op afspraak de werkstukken te passen om, indien nodig, de kleur en vorm in samenspraak helemaal naar wens te laten maken. Door moderne meettechnieken is OralCol in staat om kleur voorspelbaar en consistent te reproduceren, zelfs bij restauraties van de meest uitdagende enkele voortanden.

Bestel via Ladento

OralCol werkt samen met Ladento zodat u techniekwerk eenvoudig kan bestellen. Maak gratis een Ladento account aan en plaats moeiteloos orders. Stel eenvoudig jouw tandtechniek samen in de configurator en plaats jouw bestelling. Geen gedoe meer met papieren orderbonnen. De prijzen zijn vooraf bekend, dus geen verrassingen achteraf. Bovendien heb je de vrijheid om altijd en overal met ons te communiceren.

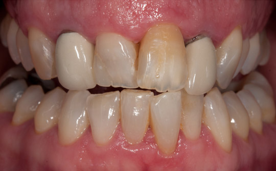
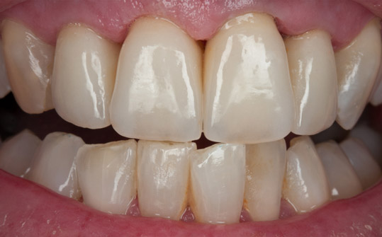
Voor & na

Voor
Na
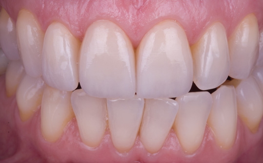
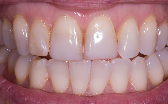
Kronen
Voor
Na
Facings

OralCol

OralCol is opgericht door Hong Vu Dang. In 2014 voltooide Hong zijn specialisatie in kroon- en brugwerk aan de Dutch HealthTec Academy.

Inmiddels is OralCol is een erkend leerbedrijf waar de Nederlandse tandtechnici van de toekomst opgeleid worden. Hong's passie voor het vak komt niet alleen tot uiting in de kwaliteit van zijn werk, maar wordt ook doorgegeven aan het hele team.

Hong Vu Dang

Bezoek ons

Bezoekadres

Harriet Freezerhof 4,
2492 JD 's-Gravenhage

We zijn gevestigd binnen
Tandartsenpraktijk Leidschenhof